Google Rating
4.8
London Bridge Dental Practice
facebook instagram twitter
  • 108-110 Tooley Street
  • .
  • London
  • .
  • SE1 2TH
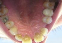
Before - London Bridge Dental Practice

Before

After - London Bridge Dental Practice

After

Case 7 - Invisalign® + Braces

This case used Invisalign®.

Read More
Before - London Bridge Dental Practice

Before

After - London Bridge Dental Practice

After

Case 8 - Invisalign® + Braces

This case used Invisalign®.

Read More
Before - London Bridge Dental Practice

Before

After - London Bridge Dental Practice

After

Case 9 - Invisalign® + Braces

This case used Invisalign®.

Read More
Before - London Bridge Dental Practice

Before

After - London Bridge Dental Practice

After

Case 10 - Invisalign® + Braces

This case used Invisalign®.

Read More
Before - London Bridge Dental Practice

Before

After - London Bridge Dental Practice

After

Case 11 - Invisalign® + Braces

This case used Invisalign®.

Read More
Before - London Bridge Dental Practice

Before

After - London Bridge Dental Practice

After

Case 12 - Invisalign®+ Braces

This case used Invisalign®.

Read More

Get In Touch

We Love Our Patients

"I’ve been having work done with Michael for over 2 years. Started with Invisalign, whitening and composite bonding.…

Scarlett B

We Love Our Patients

"Highly recommend this practice. I was already quietly impressed with their professionalism and friendliness in normal times, but…

Peter J

We Love Our Patients

"I remain very careful in who attends to my health. Yet so pleased to have chosen LBDP. I…

Adib J

We Love Our Patients

"Perfect dentistry 5 star service and quality. Michael is a dentist at the top of his game and…

Emma C

We Love Our Patients

"Great service! I chipped my tooth and the reconstruction is a work of art. Very happy. Lovely dentist…

Ema K

We Love Our Patients

"I had a couple of teeth near the front missing, the rest had all moved so I had…

Paul and Jo

We Love Our Patients

"I couldn't recommend Ebuni enough! She has amazing empathy if you're nervous and goes out of her way…

Gabrielle L

We Love Our Patients

"Michael has been a phenomenal dentist and I have thoroughly enjoyed the process of getting my Invisalign's done…

Lydia L

We Love Our Patients

"About 6 months ago I had two permanent retainers fitted behind my top and bottom teeth and was…

Constance O

We Love Our Patients

"Very very happy with my Invisalign treatment and the dentist and staff were so friendly and helpful. Thanks…

Sarah L

View testimonials

Get In Touch

We Love Our Patients

"I’ve been having work done with Michael for over 2 years. Started with Invisalign, whitening and composite bonding.…

Scarlett B

We Love Our Patients

"Highly recommend this practice. I was already quietly impressed with their professionalism and friendliness in normal times, but…

Peter J

We Love Our Patients

"I remain very careful in who attends to my health. Yet so pleased to have chosen LBDP. I…

Adib J

We Love Our Patients

"Perfect dentistry 5 star service and quality. Michael is a dentist at the top of his game and…

Emma C

We Love Our Patients

"Great service! I chipped my tooth and the reconstruction is a work of art. Very happy. Lovely dentist…

Ema K

We Love Our Patients

"I had a couple of teeth near the front missing, the rest had all moved so I had…

Paul and Jo

We Love Our Patients

"I couldn't recommend Ebuni enough! She has amazing empathy if you're nervous and goes out of her way…

Gabrielle L

We Love Our Patients

"Michael has been a phenomenal dentist and I have thoroughly enjoyed the process of getting my Invisalign's done…

Lydia L

We Love Our Patients

"About 6 months ago I had two permanent retainers fitted behind my top and bottom teeth and was…

Constance O

We Love Our Patients

"Very very happy with my Invisalign treatment and the dentist and staff were so friendly and helpful. Thanks…

Sarah L

View testimonials
e smile assessment
e smile assessment

E-smile Assessment

e smile assessment
e smile assessment

0% Dental Finance Available

e smile assessment
e smile assessment

Free Cosmetic Consultation

e smile assessment
e smile assessment

E-smile Assessment

e smile assessment
e smile assessment

0% Dental Finance Available

e smile assessment
e smile assessment

Free Cosmetic Consultation

General Dentistry

Exceptional care is at the heart of our practice.

Learn More

Cosmetic Dentistry

Enjoy the advances of modern cosmetic dentistry with us.

Learn More

Teeth Straightening

Invisalign® aligners can straighten teeth quickly, safely and effectively.

Learn More

Dental Implants

Restore the natural function of your teeth with dental implants.

Learn More

Advanced Dentistry

We offer a wide range of implant and prosthetic treatments.

Learn More

Facial Aesthetics

A smooth journey to a new you.

Learn More