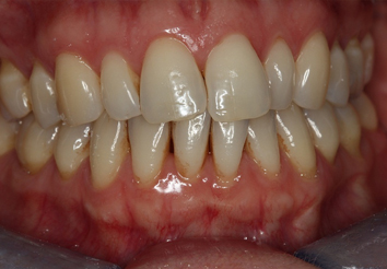
This case had Cosmetic Bonding after orthodontic treatment.
This case had Cosmetic Bonding after orthodontic treatment.
"I’ve been having work done with Michael for over 2 years. Started with Invisalign, whitening and composite bonding.…
"Highly recommend this practice. I was already quietly impressed with their professionalism and friendliness in normal times, but…
"I remain very careful in who attends to my health. Yet so pleased to have chosen LBDP. I…
"Perfect dentistry 5 star service and quality. Michael is a dentist at the top of his game and…
"Great service! I chipped my tooth and the reconstruction is a work of art. Very happy. Lovely dentist…
"I had a couple of teeth near the front missing, the rest had all moved so I had…
"I couldn't recommend Ebuni enough! She has amazing empathy if you're nervous and goes out of her way…
"Michael has been a phenomenal dentist and I have thoroughly enjoyed the process of getting my Invisalign's done…
"About 6 months ago I had two permanent retainers fitted behind my top and bottom teeth and was…
"Very very happy with my Invisalign treatment and the dentist and staff were so friendly and helpful. Thanks…
Invisalign® aligners can straighten teeth quickly, safely and effectively.
Learn More